Nong hàm là gì? Khi nào cần nong hàm trong chỉnh nha niềng răng?

Trong quá trình chỉnh nha, bên cạnh niềng răng thì nong hàm là một kỹ thuật quan trọng giúp tạo khoảng trống cho răng, cải thiện khớp cắn và nâng cao hiệu quả điều trị. Tuy nhiên, không phải ai cũng hiểu rõ nong hàm là gì, khi nào cần nong hàm và nong hàm có ảnh hưởng gì không.
Hãy cùng Nha khoa PNT tìm hiểu chi tiết về phương pháp nong hàm, các trường hợp cần áp dụng, quy trình thực hiện, chi phí và những lưu ý quan trọng trong bài viết dưới đây.
Nong hàm là gì?

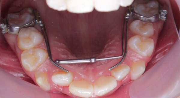
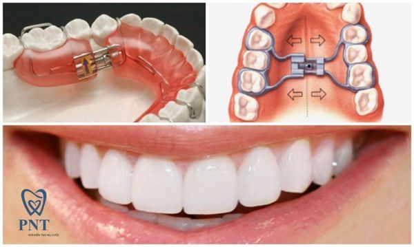
Nong hàm là một thủ thuật chỉnh nha nhằm mở rộng cung hàm trên hoặc hàm dưới, tạo thêm khoảng trống để răng có thể sắp xếp đều đặn và đúng vị trí. Phương pháp này sử dụng khí cụ nong hàm tác động lực nhẹ nhàng, liên tục lên răng và xương hàm, giúp cung hàm giãn rộng theo thời gian.
Trên thực tế, nong hàm thường được áp dụng cho hàm trên, bởi hàm trên có đường khớp xương ở giữa (đường khớp khẩu cái) nên có khả năng mở rộng tốt, đặc biệt ở trẻ em và thanh thiếu niên. Đối với hàm dưới, do cấu trúc xương liền khối nên hiệu quả nong thường hạn chế và chủ yếu là do răng nghiêng ra ngoài.
Tác dụng của nong hàm trong chỉnh nha
Nong hàm mang lại nhiều lợi ích quan trọng, bao gồm:
-
Tạo khoảng trống cho răng: Giải quyết tình trạng răng chen chúc, mọc lệch, xoay răng do thiếu chỗ.
-
Cải thiện khớp cắn: Điều chỉnh khớp cắn hẹp, khớp cắn chéo, giúp hai hàm ăn khớp đúng.
-
Hỗ trợ niềng răng hiệu quả: Giúp răng dịch chuyển thuận lợi, rút ngắn thời gian chỉnh nha.
-
Hạn chế nhổ răng: Trong nhiều trường hợp, nong hàm giúp tạo đủ khoảng trống để tránh phải nhổ răng.
-
Cải thiện thẩm mỹ nụ cười và khuôn mặt: Cung hàm rộng hơn giúp gương mặt hài hòa, cân đối.
-
Nâng cao chức năng ăn nhai và phát âm.
-
Hỗ trợ điều trị hô, móm nhẹ do cung hàm hẹp.
Nong hàm trong niềng răng để làm gì?

Trong điều trị chỉnh nha tại Nha khoa PNT, nong hàm thường được chỉ định với các mục đích sau:
1. Tạo khoảng trống sắp xếp răng
Khi cung hàm quá hẹp khiến răng mọc chen chúc, việc nong hàm giúp mở rộng diện tích, tạo điều kiện cho răng di chuyển đúng vị trí.
2. Điều chỉnh khớp cắn
Nong hàm giúp khắc phục:
-
Khớp cắn hẹp
-
Khớp cắn chéo
-
Lệch tương quan giữa hàm trên và hàm dưới
3. Hỗ trợ sắp xếp răng chính xác
Khi có đủ không gian, bác sĩ dễ dàng kiểm soát hướng di chuyển của răng, đảm bảo kết quả đều đẹp và bền vững.
4. Cải thiện thẩm mỹ khuôn mặt
Đặc biệt ở trẻ em, nong hàm có thể tác động tích cực đến sự phát triển xương hàm, giúp khuôn mặt cân đối hơn.
5. Giảm thiểu chỉ định nhổ răng
Trong nhiều ca răng chen chúc mức độ vừa, nong hàm là giải pháp bảo tồn răng thật hiệu quả.
👉 Có thể nói, nong hàm là bước hỗ trợ quan trọng giúp quá trình niềng răng đạt hiệu quả tối ưu cả về chức năng lẫn thẩm mỹ.
Quy trình đeo nong hàm tại Nha khoa PNT
Quy trình nong hàm được thực hiện bài bản, an toàn theo các bước sau:
Bước 1: Thăm khám & chẩn đoán
Bác sĩ chỉnh nha thăm khám tổng quát, chụp X-quang hoặc scan 3D để đánh giá tình trạng răng và xương hàm.
Bước 2: Lấy dấu hàm
Dấu hàm được lấy chính xác để thiết kế khí cụ nong hàm phù hợp từng bệnh nhân.
Bước 3: Lựa chọn loại khí cụ nong hàm
Tùy vào độ tuổi và mức độ cần nong, bác sĩ sẽ chỉ định:
-
Nong hàm cố định
-
Nong hàm tháo lắp
Bước 4: Gắn khí cụ
Đối với nong hàm cố định, khí cụ sẽ được gắn chắc chắn vào răng hàm.
Bước 5: Hướng dẫn sử dụng
Bác sĩ hướng dẫn cách đeo, tháo và vệ sinh (đối với khí cụ tháo lắp).
Bước 6: Hướng dẫn vặn vít nong hàm
Một số khí cụ có vít nong, bệnh nhân hoặc người thân sẽ được hướng dẫn cách vặn đúng kỹ thuật.
Bước 7: Tái khám định kỳ
Bác sĩ theo dõi tiến độ và điều chỉnh lực nong phù hợp.
Lưu ý: Nong hàm phải được chỉ định và theo dõi bởi bác sĩ chỉnh nha chuyên môn cao để đảm bảo an toàn.
Các trường hợp cần nong hàm

Không phải ai cũng cần nong hàm. Bác sĩ tại Nha khoa PNT sẽ chỉ định nong hàm trong các trường hợp sau:
Vòm hàm quá hẹp
Cung hàm hẹp so với gương mặt gây răng chen chúc, khớp cắn chéo. Nong hàm giúp cải thiện độ rộng vòm hàm.
Vòm hàm thiếu chỗ sắp xếp răng
Dù vòm hàm không hẹp rõ rệt nhưng không đủ không gian cho răng dịch chuyển khi niềng.
Hàm bị lệch, méo
Trường hợp một bên hàm phát triển kém, bác sĩ sẽ nong một bên để tạo sự cân đối.
Chi phí nong hàm bao nhiêu tiền?
Chi phí nong hàm phụ thuộc vào:
-
Loại khí cụ
-
Mức độ phức tạp
-
Độ tuổi bệnh nhân
Mức giá tham khảo:
-
Nong hàm cố định: 5 – 15 triệu đồng
-
Nong hàm tháo lắp: 5 – 15 triệu đồng
-
Nong hàm nhanh (RPE): 5 – 10 triệu đồng
-
Nong hàm có mini implant: từ 12 triệu đồng trở lên
👉 Để biết chi phí chính xác, bạn nên đến Nha khoa PNT để được thăm khám và tư vấn trực tiếp.
Câu hỏi thường gặp về nong hàm

Nong hàm tối đa bao nhiêu mm?
-
Vùng răng cối nhỏ: tối đa ~9mm
-
Vùng răng thường: khoảng 6mm
Thời gian đeo nong hàm bao lâu?
Thông thường từ 1 – 3 tháng, tùy tình trạng và khí cụ.
Nong hàm có làm thay đổi khuôn mặt không?
Có, nhưng theo chiều hướng tích cực, giúp gương mặt cân đối và hài hòa hơn.
Các loại khí cụ nong hàm phổ biến
-
Nong hàm nhanh (RPE)
-
Nong hàm chậm (Quad Helix)
-
Nong hàm cố định
-
Nong hàm tháo lắp
-
Nong hàm bằng dây cung trong niềng răng
Việc lựa chọn loại nào sẽ do bác sĩ chỉ định dựa trên từng trường hợp cụ thể.
Lưu ý khi đeo khí cụ nong hàm
-
Tuân thủ lịch vặn vít
-
Tái khám đúng hẹn
-
Vệ sinh răng miệng kỹ lưỡng
-
Tránh thức ăn cứng, dai, dính
-
Không tự ý điều chỉnh khí cụ
-
Báo bác sĩ ngay khi có đau nhức bất thường
Chế độ ăn uống & vệ sinh khi nong hàm
-
Ăn thức ăn mềm, dễ nhai
-
Cắt nhỏ thức ăn
-
Sử dụng bàn chải kẽ, chỉ nha khoa, tăm nước
-
Vệ sinh kỹ vít nong và vùng tiếp xúc lợi
-
Súc miệng nước muối hoặc nước súc miệng chuyên dụng
Dịch vụ niềng răng – nong hàm tại Nha khoa PNT
Nha khoa PNT là địa chỉ uy tín trong lĩnh vực chỉnh nha – niềng răng tại TP.HCM với nhiều ưu điểm:
-
Đội ngũ bác sĩ chỉnh nha giàu kinh nghiệm
-
Trang thiết bị hiện đại
-
Phác đồ điều trị cá nhân hóa
-
Báo giá minh bạch, rõ ràng
-
Theo dõi xuyên suốt quá trình điều trị
-
Hỗ trợ tận tâm trước – trong – sau điều trị
Thông tin liên hệ Nha Khoa PNT – Nha khoa Gò Vấp uy tín
📍 Địa chỉ: 343 Nguyễn Thái Sơn, Phường 5, Quận Gò Vấp, TP. Hồ Chí Minh
📞 Hotline: 032 883 8848
📧 Email: nhakhoapnt@nhakhoapnt.com