Sún răng là gì? Tổng quan về bệnh sún răng từ A–Z

Sún răng là một trong những vấn đề răng miệng phổ biến nhất ở trẻ em, nhưng người lớn cũng có thể gặp phải nếu không chăm sóc răng đúng cách. Vậy sún răng là gì? Bệnh có nguy hiểm không? Điều trị như thế nào và làm sao để phòng ngừa hiệu quả?
Trong bài viết dưới đây, CÔNG TY TNHH NHA KHOA PNT sẽ giúp bạn hiểu rõ tổng quan về bệnh sún răng từ nguyên nhân, dấu hiệu, mức độ nguy hiểm đến cách điều trị chuẩn nha khoa.
1. Sún răng là gì?

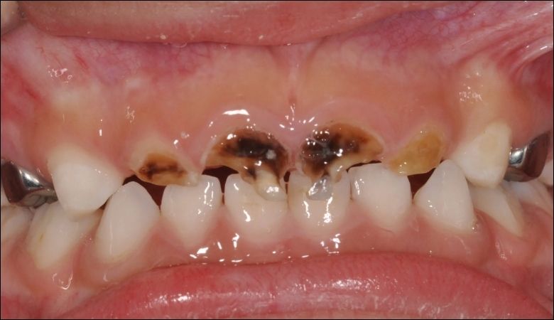
Sún răng là tình trạng men răng và ngà răng bị phá hủy do vi khuẩn tấn công, khiến răng bị mòn, mục, đổi màu và dần dần mất cấu trúc ban đầu. Tình trạng này thường gặp ở răng sữa của trẻ nhỏ, đặc biệt trong độ tuổi 2–6 tuổi.
Bản chất của sún răng là một dạng tổn thương mô cứng của răng do axit tạo ra từ vi khuẩn trong mảng bám. Khi không được xử lý sớm, răng sẽ yếu đi, dễ vỡ, thậm chí phải nhổ bỏ.
2. Phân biệt sún răng và sâu răng
Nhiều người nhầm lẫn giữa sún răng và sâu răng. Thực tế, hai tình trạng này có liên quan nhưng không hoàn toàn giống nhau.
| Tiêu chí | Sún răng | Sâu răng |
|---|---|---|
| Đối tượng | Thường gặp ở trẻ nhỏ | Mọi lứa tuổi |
| Tốc độ tiến triển | Nhanh | Chậm hơn |
| Biểu hiện | Răng mòn, cụt, đổi màu | Xuất hiện lỗ sâu rõ ràng |
| Mức độ lan rộng | Có thể lan nhiều răng cùng lúc | Thường từng răng riêng lẻ |
Hiểu rõ sự khác biệt giúp cha mẹ phát hiện sớm và điều trị kịp thời cho trẻ.
3. Nguyên nhân gây sún răng
3.1 Vi khuẩn trong mảng bám
Vi khuẩn tồn tại trong khoang miệng sẽ phân hủy đường và tinh bột trong thức ăn, tạo ra axit phá hủy men răng.
3.2 Thói quen ăn nhiều đồ ngọt
Bánh kẹo, nước ngọt, sữa có đường là “môi trường lý tưởng” để vi khuẩn phát triển.
3.3 Bú bình ban đêm
Trẻ bú bình khi ngủ mà không vệ sinh răng miệng sẽ rất dễ bị sún răng do đường trong sữa đọng lại lâu trên răng.
3.4 Vệ sinh răng miệng sai cách
-
Không đánh răng đủ 2 lần/ngày
-
Không dùng kem đánh răng có fluor
-
Không làm sạch lưỡi
3.5 Thiếu canxi và fluor
Khoáng chất đóng vai trò quan trọng trong việc tái khoáng và bảo vệ men răng.
4. Đối tượng dễ mắc sún răng
-
Trẻ 2–6 tuổi
-
Trẻ có thói quen bú đêm
-
Người ăn nhiều đồ ngọt
-
Người không khám răng định kỳ
-
Người có men răng yếu
5. Dấu hiệu nhận biết sún răng sớm
Phát hiện sớm giúp điều trị đơn giản và tiết kiệm chi phí hơn.
Giai đoạn đầu
-
Xuất hiện đốm trắng đục trên răng
-
Răng nhạy cảm nhẹ
Giai đoạn tiến triển
-
Răng đổi màu vàng nâu hoặc đen
-
Bề mặt răng mòn dần
Giai đoạn nặng
-
Răng cụt, vỡ
-
Đau nhức khi ăn uống
-
Hôi miệng
Khi xuất hiện các dấu hiệu trên, nên đến nha khoa để kiểm tra càng sớm càng tốt.
6. Sún răng có nguy hiểm không?
Nhiều phụ huynh cho rằng răng sữa rồi sẽ thay nên không cần điều trị. Tuy nhiên, đây là quan điểm sai lầm.
Sún răng nếu không điều trị có thể gây:
-
Viêm tủy răng
-
Áp xe răng
-
Đau nhức kéo dài
-
Mất răng sớm
-
Ảnh hưởng đến răng vĩnh viễn
-
Trẻ biếng ăn, suy dinh dưỡng
-
Ảnh hưởng phát âm
Điều trị sớm giúp bảo tồn răng tối đa và tránh biến chứng nguy hiểm.
7. Các mức độ sún răng và hướng điều trị
Tùy vào mức độ tổn thương, bác sĩ sẽ chỉ định phương pháp phù hợp.
7.1 Giai đoạn nhẹ – Tái khoáng bằng fluor
Khi răng mới xuất hiện đốm trắng, có thể bôi fluor giúp phục hồi men răng.
7.2 Giai đoạn trung bình – Trám răng
Nếu răng đã mòn hoặc có lỗ nhỏ, bác sĩ sẽ làm sạch và trám vật liệu thẩm mỹ để bảo vệ răng.
7.3 Giai đoạn nặng – Điều trị tủy
Khi vi khuẩn xâm nhập vào tủy, cần điều trị tủy để loại bỏ viêm nhiễm.
7.4 Mất cấu trúc răng nghiêm trọng – Nhổ răng
Trường hợp răng không thể bảo tồn, bác sĩ sẽ cân nhắc nhổ bỏ để tránh ảnh hưởng răng kế cận.
8. Quy trình điều trị sún răng tại CÔNG TY TNHH NHA KHOA PNT
Tại CÔNG TY TNHH NHA KHOA PNT, quy trình điều trị được thực hiện theo tiêu chuẩn an toàn:
-
Thăm khám và chụp phim kiểm tra
-
Tư vấn phương án điều trị
-
Vệ sinh khoang miệng
-
Tiến hành điều trị theo từng mức độ
-
Hướng dẫn chăm sóc tại nhà
-
Tái khám định kỳ
Đội ngũ bác sĩ giàu kinh nghiệm giúp trẻ hợp tác tốt và giảm cảm giác lo lắng khi điều trị.
9. Phòng ngừa sún răng hiệu quả
Phòng bệnh luôn tốt hơn chữa bệnh.
Đối với trẻ nhỏ
-
Đánh răng 2 lần/ngày
-
Sử dụng kem đánh răng chứa fluor phù hợp độ tuổi
-
Hạn chế ăn vặt
-
Không cho bú bình khi ngủ
-
Khám răng định kỳ 6 tháng/lần
Đối với người lớn
-
Lấy cao răng định kỳ
-
Uống đủ nước
-
Dùng chỉ nha khoa
-
Ăn uống cân bằng
10. Khi nào nên đưa trẻ đến nha khoa?
Phụ huynh nên đưa trẻ đi khám khi:
-
Phát hiện đốm trắng hoặc đen trên răng
-
Trẻ than đau răng
-
Răng bị mòn, vỡ
-
Hơi thở có mùi bất thường
Khám định kỳ giúp phát hiện sớm ngay cả khi chưa có triệu chứng rõ ràng.
11. Vì sao nên điều trị sún răng sớm?
Điều trị sớm giúp:
-
Giảm đau cho trẻ
-
Tránh biến chứng nguy hiểm
-
Tiết kiệm chi phí
-
Bảo tồn răng tối đa
-
Giúp trẻ ăn uống bình thường
Càng để lâu, điều trị càng phức tạp và tốn kém.
12. Câu hỏi thường gặp về sún răng
Sún răng có tự khỏi không?
Không. Khi men răng đã bị phá hủy, răng không thể tự phục hồi hoàn toàn nếu không can thiệp nha khoa.
Trẻ bị sún răng có cần điều trị không?
Có. Răng sữa đóng vai trò quan trọng trong ăn nhai và định hướng mọc răng vĩnh viễn.
Điều trị sún răng có đau không?
Hiện nay với kỹ thuật hiện đại, điều trị nhẹ nhàng và hạn chế đau tối đa.
Kết luận
Hy vọng bài viết đã giúp bạn hiểu rõ sún răng là gì? Tổng quan về bệnh sún răng và tầm quan trọng của việc điều trị sớm. Đừng chủ quan với những dấu hiệu nhỏ vì sún răng có thể tiến triển nhanh và gây biến chứng nghiêm trọng.
Nếu bạn hoặc trẻ nhỏ đang gặp vấn đề về sún răng, hãy liên hệ ngay:
CÔNG TY TNHH NHA KHOA PNT
📍 343 Nguyễn Thái Sơn, Phường 5, Quận Gò Vấp, Hồ Chí Minh
📞 Hotline: 032 883 8848
📧 Email: nhakhoapnt@nhakhoapnt.com
Đội ngũ bác sĩ luôn sẵn sàng tư vấn và điều trị tận tâm, giúp bạn bảo vệ nụ cười khỏe mạnh lâu dài.