Sưng Nướu Răng Do Đâu? Cách Khắc Phục Sưng Nướu Răng Hiệu Quả
Sưng nướu răng là tình trạng răng miệng thường gặp ở nhiều độ tuổi, từ trẻ em đến người trưởng thành. Dù ban đầu chỉ gây khó chịu nhẹ, nhưng nếu không được xử lý kịp thời, sưng nướu răng có thể tiến triển thành viêm nha chu, ảnh hưởng nghiêm trọng đến sức khỏe răng miệng và nguy cơ mất răng sớm.
Vậy sưng nướu răng do đâu, làm sao nhận biết sớm và đâu là cách khắc phục hiệu quả, an toàn? Hãy cùng Nha khoa PNT – nha khoa uy tín tại Gò Vấp tìm hiểu chi tiết trong bài viết dưới đây.
Sưng Nướu Răng Là Tình Trạng Gì?

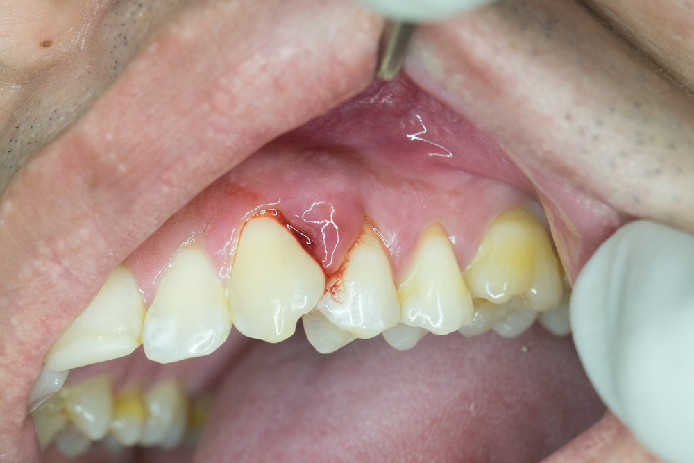
Sưng nướu răng (hay còn gọi là viêm nướu) là hiện tượng mô nướu quanh răng bị viêm, sưng to và đổi màu do vi khuẩn tấn công. Vi khuẩn này chủ yếu sinh sôi trong các mảng bám, cao răng không được làm sạch triệt để.
Theo các bác sĩ tại Nha khoa PNT, viêm nướu là giai đoạn sớm của bệnh nha chu. Nếu được phát hiện và điều trị kịp thời, tình trạng này hoàn toàn có thể hồi phục mà không để lại biến chứng nguy hiểm.
Dấu Hiệu Nhận Biết Sưng Nướu Răng

Tùy vào mức độ viêm, sưng nướu răng có thể biểu hiện khác nhau. Một số dấu hiệu phổ biến bao gồm:
-
Nướu đổi màu từ hồng nhạt sang đỏ sẫm hoặc tím
-
Vùng nướu bị sưng phồng, đau khi chạm vào
-
Dễ chảy máu khi đánh răng hoặc dùng chỉ nha khoa
-
Hơi thở có mùi hôi kéo dài
-
Cảm giác ê buốt, khó chịu khi ăn đồ nóng, lạnh, cay
-
Nướu có xu hướng tụt xuống, lộ chân răng
-
Trường hợp nặng có thể xuất hiện mủ, kèm theo đau đầu, mệt mỏi hoặc sốt nhẹ
⚠️ Lưu ý: Khi sưng nướu kéo dài, đau nhiều hoặc có mủ, người bệnh nên đến nha khoa uy tín để được kiểm tra sớm.
Nguyên Nhân Gây Sưng Nướu Răng Phổ Biến
1. Vệ Sinh Răng Miệng Không Đúng Cách

Đây là nguyên nhân hàng đầu gây viêm và sưng nướu răng. Việc đánh răng không đều đặn, chải răng sai kỹ thuật hoặc không sử dụng chỉ nha khoa khiến mảng bám tích tụ lâu ngày, tạo môi trường thuận lợi cho vi khuẩn phát triển và gây viêm nướu.
Ngoài ra, chải răng quá mạnh hoặc dùng bàn chải lông cứng cũng có thể làm tổn thương mô nướu, dẫn đến sưng đau.
2. Thiếu Hụt Vitamin Và Khoáng Chất

Chế độ ăn uống thiếu vitamin C, vitamin nhóm B hoặc khoáng chất cần thiết có thể khiến nướu yếu, dễ viêm và khó phục hồi. Đặc biệt, thiếu vitamin C kéo dài có thể gây chảy máu nướu, sưng nướu và đau nhức.
3. Răng Khôn Mọc Lệch, Mọc Ngầm

Răng khôn mọc lệch hoặc mọc ngầm thường gây sưng nướu ở vùng phía sau hàm. Thức ăn dễ mắc kẹt tại khu vực này, khó vệ sinh sạch sẽ, lâu ngày gây viêm lợi trùm, đau nhức và hôi miệng.
4. Thay Đổi Nội Tiết Tố

Phụ nữ mang thai, người đang trong giai đoạn dậy thì hoặc thay đổi nội tiết tố có nguy cơ cao bị sưng nướu răng. Sự thay đổi hormone khiến nướu nhạy cảm hơn và dễ bị vi khuẩn tấn công.
5. Các Yếu Tố Khác
Ngoài những nguyên nhân trên, sưng nướu răng còn có thể do:
-
Dị vật mắc vào nướu (xương cá, vảy cá…)
-
Mắc cài chỉnh nha, hàm giả hoặc mão răng không phù hợp
-
Lấy cao răng sai kỹ thuật
-
Tác dụng phụ của một số loại thuốc
-
Thói quen hút thuốc lá
-
Các bệnh lý toàn thân như tiểu đường, suy giảm miễn dịch
Cách Khắc Phục Sưng Nướu Răng Hiệu Quả Tại Nhà

Trong trường hợp sưng nướu nhẹ, chưa có biến chứng, bạn có thể áp dụng các biện pháp hỗ trợ sau:
-
Đánh răng đúng cách 2 lần/ngày bằng bàn chải lông mềm
-
Dùng chỉ nha khoa để làm sạch kẽ răng
-
Súc miệng bằng nước muối ấm giúp giảm viêm và sát khuẩn nhẹ
-
Chườm lạnh bên ngoài má khoảng 10–15 phút để giảm sưng đau
-
Ăn uống lành mạnh, hạn chế đồ ngọt, cay nóng; tăng cường vitamin C
-
Tránh hút thuốc lá và các chất kích thích
⚠️ Những biện pháp trên chỉ mang tính hỗ trợ, không thay thế điều trị chuyên sâu khi viêm nướu kéo dài.
Điều Trị Sưng Nướu Răng Hiệu Quả Tại Nha Khoa PNT
Nếu sưng nướu không thuyên giảm sau 1–2 tuần hoặc có dấu hiệu nặng, bạn nên đến Nha khoa PNT – nha khoa uy tín tại Gò Vấp để được thăm khám và điều trị đúng cách.
Tùy nguyên nhân, bác sĩ sẽ chỉ định:
-
Cạo vôi răng và làm sạch mảng bám
-
Điều trị viêm nướu, viêm nha chu
-
Xử lý răng khôn mọc lệch
-
Điều chỉnh hoặc thay thế phục hình răng không phù hợp
-
Hướng dẫn chăm sóc răng miệng đúng cách tại nhà
Cách Phòng Ngừa Sưng Nướu Răng Hiệu Quả
Để hạn chế nguy cơ sưng nướu răng, các bác sĩ Nha khoa PNT khuyến nghị:
-
Đánh răng đúng kỹ thuật ít nhất 2 lần/ngày
-
Sử dụng chỉ nha khoa và nước súc miệng phù hợp
-
Khám nha khoa định kỳ 6 tháng/lần
-
Cạo vôi răng định kỳ
-
Duy trì chế độ ăn giàu vitamin và khoáng chất
-
Hạn chế thuốc lá, rượu bia
Khắc Phục Sưng Nướu Răng An Toàn Tại Nha Khoa PNT
CÔNG TY TNHH NHA KHOA PNT là địa chỉ nha khoa uy tín tại Gò Vấp, được nhiều khách hàng tin tưởng trong điều trị các bệnh lý răng miệng, đặc biệt là viêm nướu – viêm nha chu.
Thông tin liên hệ:
CÔNG TY TNHH NHA KHOA PNT
📍 Địa chỉ: 343 Nguyễn Thái Sơn, Phường 5, Quận Gò Vấp, TP. Hồ Chí Minh
📞 Hotline: 032 883 8848
📧 Email: nhakhoapnt@nhakhoapnt.com